Natural Dentistry of North Texas

Smile Gallery

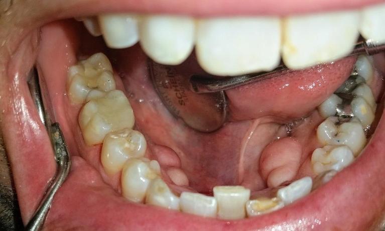
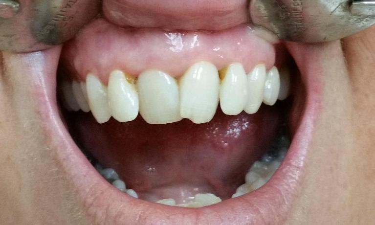
Over the years, Dr. Randhawa has helped numerous patients achieve a healthier, more attractive smile. Please take a look at some of the smile transformations we've created for our patients. 

Getting an appointment is fast and easy!
Dr. Randhawa was great!

I want to go on record regarding Natural Dentistry of North Texas in Mesquite. Dr. Randhawa was great she repaired a broken filling in a tooth that my previous dentist told me was cracked and needed an expensive crown to repair. So I trust her, and that is the most important thing to me. Mayra the dental assistant, was awesome as well. I would definitely recommend Natural Dentistry of North Texas to my friends and family.


- Brock W.

If you have difficulty using our website, please email us or call us at (972) 681-5936
View the ADA Accessibility Statement